Качественные биопрепараты
для научных и клинических
исследований


/catalog/methods/IHC/mouse-anti-human-collagen-iii-type-antibodies/

Моноклональные антитела к коллагену III

Антитела мыши к коллагену человека III типа, моноклональные

Доступность: На складе
Распечатать
Cat No Применение Фасовка Цена*, i
MMH C33 ИФА, Иммунохимия 0,1 мг

цена по запросу

ООО фирмы «Имтек» не рекомендует использовать MMH C33 для прокраски парафиновых срезов
Антитела к коллагену III
 
Код: MMH C33
Название: Антитела мыши к коллагену человека III типа, моноклональные 
Применение: ИФА, Иммунохимия
Иммуноген: коллаген человека III типа
 
Фасовка: 0,1 мг
Форма: Лиофильно высушенный белок
Подготовка: Растворить в 1,0 мл дистиллированной воды
Хранение: минус 20℃ (1 год)
Применение
 
ИФА (ELISA) 1/1000
Иммунохимия (IHC, ICC) 1/20
Список литературы
 
 1)  И.В. Телегина и др., ОСОБЕННОСТИ ФОРМИРОВАНИЯ РУБЦА НА МАТКЕ ПОСЛЕ КЕСАРЕВА СЕЧЕНИЯ В ЗАВИСИМОСТИ ОТ ХАРАКТЕРА РОДОРАЗРЕШЕНИЯ. Журнал акушерства и женских болезней, 2013, Т. LXII, №4, с.61-65
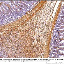
 2)  П.С. Кызласов и др., РЕАКЦИЯ ТКАНЕЙ БРЮШИНЫ ПРИ ЭКСПЕРИМЕНТАЛЬНОМ ПОВРЕЖДЕНИИ НА ФОНЕ ПРИМЕНЕНИЯ МИРАМИСТИНА. Гены и клетки, 2013, Т. 8, №1, с.72-75
 3)  Р.В. Павлов и др., ОСОБЕННОСТИ МОРФОЛОГИИ И СОДЕРЖАНИЯ ЦИТОКИНОВ В ТКАНИ НИЖНЕГО МАТОЧНОГО СЕГМЕНТА В ЗАВИСИМОСТИ ОТ РОДОВОЙ ДЕЯТЕЛЬНОСТИЖурнал акушерства и женских болезней, 2011, Т. LX, №6, с.57-61 
 4)  В.В. Савенкова, СТРОМАЛЬНО-СОСУДИСТЫЕ ИЗМЕНЕНИЯ В КОЖЕ БОЛЬНЫХ ОГРАНИЧЕННОЙ СКЛЕРОДЕРМИЕЙ НА РАЗЛИЧНЫХ СТАДИЯХ ЗАБОЛЕВАНИЯ. Дерматологiя та венерологiя, 2009, №2(44), с.16-21

Cat No
Название
Фасовка
Цена, i
H C33
Коллаген человека III типа Коллаген человека III типа, очищенный белок
0,1 мг

цена по запросу

f-GAM Iss
Антитела козы к иммуноглобулинам мыши: ФИТЦ Конъюгат антител козы к иммуноглобулинам IgG, IgA, IgM мыши с ФИТЦ
1 мг (1 мл)
12 575
b-GAM Iss
Антитела козы к иммуноглобулинам мыши: биотин Конъюгат антител козы к иммуноглобулинам IgG, IgA, IgM мыши с биотином
1 мг (1 мл)
12 500
P-GAM Iss
Антитела козы к иммуноглобулинам мыши: пероксидаза Конъюгат антител козы к иммуноглобулинам IgG, IgA, IgM мыши с пероксидазой
1 мг (1 мл)
12 410
f-RAM Iss
Антитела кролика к иммуноглобулинам мыши: ФИТЦ Конъюгат антител кролика к иммуноглобулинам IgG, IgA, IgM мыши с ФИТЦ
1 мг (1 мл)
12 675
b-RAM Iss
Антитела кролика к иммуноглобулинам мыши: биотин Конъюгат антител кролика к иммуноглобулинам IgG, IgA, IgM мыши с биотином
1 мг (1 мл)
12 625
P-RAM Iss
Антитела кролика к иммуноглобулинам мыши: пероксидаза Конъюгат антител кролика к иммуноглобулинам IgG, IgA, IgM мыши с пероксидазой
1 мг (1 мл)
12 320

                                                                                                                                                                                                                 *цена указана без учета НДС 5%